An independent registry of America’s cosmetic dentistry · Est. MMXXVI 3,287 verified practices · 51 states
Hyundae Aesthetic Cosmetic Dentistry · Registry

881 3rd St a2, Whitehall, PA 18052

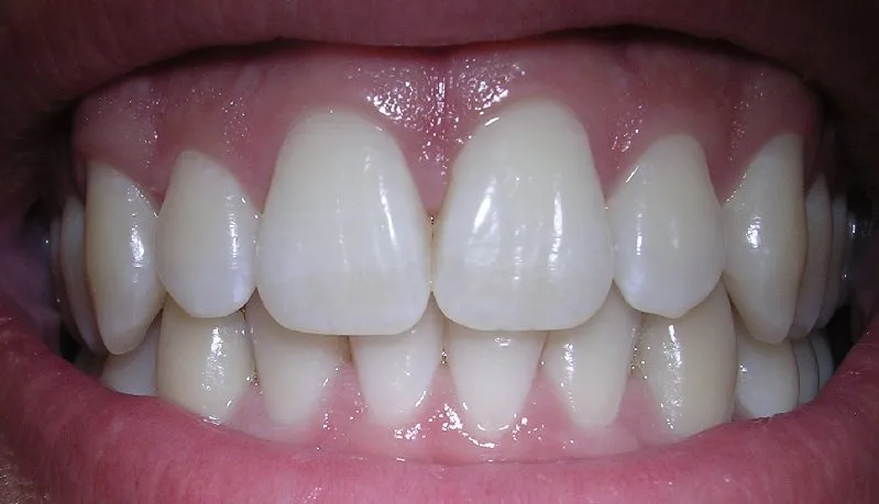
Cosmetic Dentistry Cosmetic Dentistry

Lehigh Valley Sculpted Smiles: Michael E. Kun, DMD

4.9 ★★★★★ 364 Google reviews · Cosmetic Dentistry

Talk to the practice

(610) 266-9048

Direct line · no lead-gen gatekeeper.

Visit Website Directions
Brand Independent
Property type Dentist · 881 3rd St a2

About the practice

What patients encounter when they walk through the door.

In their words

Practice overview.

Phenomenal! Dr. Kun is a master of his trade! The professionalism and kindness shown by the entire staff are top-notch. They make you feel welcome and comfortable, like family. The attention to detail and personalized care are unmatched. I feel very lucky to be under their expert care and would never consider going anywhere else.

Signature

The four pillars of this practice.

Signature Service Cosmetic Dentistry Consult for full menu
Consultation Consultation Available Call to confirm availability
Patient Rating 4.9 / 5 364 Google reviews
Phone (610) 266-9048 Tap to book

Services and office

What’s on offer.

Patient Experience

What new patients can expect at this practice.

  • Free Consultation
  • Accepting New Patients
  • Most Insurance Accepted
  • Financing Options

Office Amenities

Comfort and accessibility features on site.

  • Online Appointments
  • Wheelchair Accessible
  • Free Wi-Fi

At a glance

The practice, itemized.

Google Rating 4.9 364 reviews
Focus Cosmetic Dentistry Dentist · 881 3rd St a2
Payment Self-Pay Friendly Ask about financing
Location Allentown, PA 881 3rd St a2, Whitehall, PA 18052

Location

Allentown, PA.

881 3rd St a2, Whitehall, PA 18052

Open in Google Maps

Ways to connect

Contact and verify.